As Principal Dentist at tooth, I often meet patients who’ve never heard of an OPG or CBCT scan, names that can sound technical or intimidating. Yet these imaging tools are central to modern, safe, and precise dentistry and at tooth we are lucky enough to have our own imaging centre on site - making things quicker, easier and usually much cheaper than having to go to an off site digital scanning centre in London.
In this post, I’ll explain what OPG and CBCT scans are, when they’re used, and why your dentist may recommend one.
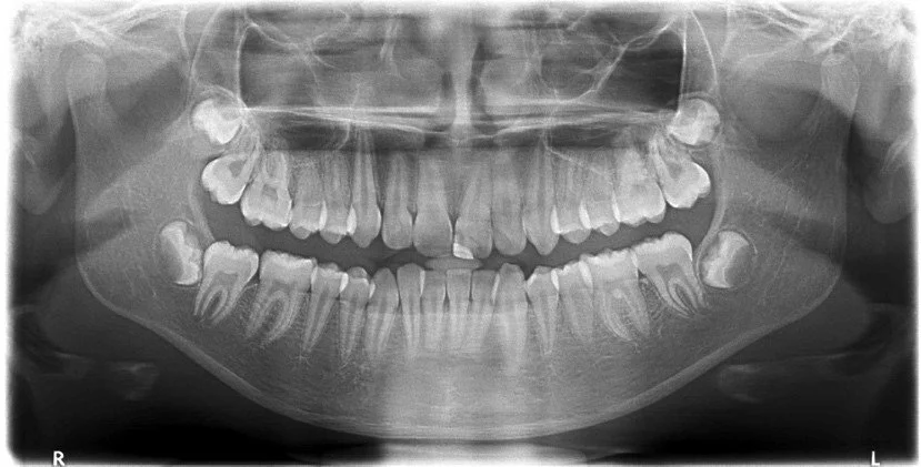
What is an OPG?
OPG stands for Orthopantomogram (but is more commonly known as a panoramic X-ray). It’s a two-dimensional (2D) panoramic X-ray that captures the entire upper and lower jaws, all teeth, and surrounding jawbone in a single image. At tooth, our scanning centre offers OPGs (panoramic X-rays) as one of our foundational imaging tools.
An OPG gives a Dentist a broad overview of your dental anatomy: tooth positions, jaw relationships, wisdom teeth, bone levels, and potentially any abnormalities or pathology. It’s quick, non-invasive, and uses a relatively low dose of radiation compared to more advanced scans.
An OPG (Panoramic X Ray)
What is a CBCT scan?
CBCT stands for Cone Beam Computed Tomography. Unlike a simple 2D X-ray, a CBCT scan generates a 3D volumetric image, allowing your Dentist or Specialist to “look around” structures in all planes - sagittal, coronal, and axial, if you want to get technical!
At tooth in Waterloo, we provide a variety of CBCT scan types (single arch, double arch, sectional, quadrant, triple scan) depending on the region that needs to be imaged and this will depend on the clinical need for a CBCT, linked directly to the planned treatment.
During a CBCT scan, you’ll typically stand or sit if medically required, while the scanner rotates around your head. It is super quick, and the imaging itself usually takes under a minute.
One major advantage of having a CBCT scan in London, is that they deliver far more detail about bone thickness, nerve canals, tooth root anatomy, and spatial relationships than 2D imaging can. It’s especially useful when planning complex treatments such as implants, endodontics (when needed) and surgical extractions.
A CBCT scan
Why your Dentist might recommend an OPG X Ray or CBCT Scan
Neither an OPG nor CBCT are an ‘optional’ treatment. By that, I mean that the patient can’t just ask for one, as they require a Dentist’s prescription and a clear clinical need. At tooth, we also accept referrals from other Dentists and Dental Practices for both OPG and CBCT scans and we forward the images to the referring Dentist for treatment planning. This is especially helpful if you are having dental treatment overseas and need an OPG or having dental treatment abroad and need a CBCT scan.
Here are the top reasons we may recommend an Panoramic X Ray or CBCT:
Dental implant planning — to assess bone volume, quality, and relationship to nerves
Surgical or wisdom tooth extraction — especially when roots may be close to vital structures
Complex endodontics (root canal therapy) — when standard X-rays don’t reveal critical anatomy
Oral surgery / pathology — to investigate cysts, tumours, or lesions
Unexplained pain or symptoms — when other diagnostics haven’t found the cause
At tooth, our pricing is transparent: for example, an OPG panoramic scan costs just £60, and various CBCT scans (single arch, double arch etc.) are priced accordingly, from only £100. You can learn more by pressing the button below.
What to expect: The procedure and safety
The patient experience is straightforward. After referral (internal or external referrals for OPG and CBCT) and checking in, you’ll be brought into the scanning room. You’ll be asked to stand or sit if required in a stable position, place your chin on a rest, grip handles, and remain still. A scout (low-dose preview) image will usually be taken first to confirm positioning, followed by the full scanning pass.
Radiation doses for CBCT scans are significantly lower than those of standard medical CT scans, typically equating to a few days of background environmental exposure, so nothing at all to be unduly worried by. At tooth, we use a Planmeca Pro Max 3D Classic scanner, which has an Ultra Low Dose capability and movement control to avoid having to retake OPGs or CBCTs due to small movements. We chose this machine to enhance patient safety and comfort.
After the scan, there’s no downtime — you can return to normal activities immediately. The images will be reviewed by your dentist (or specialist), who will then discuss the treatment plan based on what the scan reveals.
OPG X Rays or CBCT Dental Scans at tooth in London
OPG and CBCT scans are indispensable parts of modern dentistry, powerful diagnostic tools that help us plan treatments more safely and accurately. At tooth, we’re proud to offer these services in-house so you don’t have to travel elsewhere. If your dentist recommends a scan, rest assured that it is to ensure better diagnosis, safer treatment, and peace of mind.
How do I book an OPG Scan or book a CBCT Scan near me?
If you’d like to learn more, or book an Exam to discuss an OPG or CBCT, or if you have a referral for an OPG or CBCT referral, just get in touch. We are open 8am to 8pm on weekdays and open weekends too. Our team will help with referral forms and all the information you need. To book an OPG or CBCT scan in London just click on any of the buttons below.
Talk soon, Dr Anna x
